La citología, el estudio de las células, y la histología, el estudio de los tejidos, son disciplinas clave en el campo de la veterinaria.
El motivo es que permiten a los profesionales veterinarios ver más allá de los síntomas superficiales y comprender las raíces de las condiciones médicas. Pero ¿por qué es esencial esta comprensión profunda para un auxiliar de veterinaria?
Al trabajar de cerca con veterinarios en la preparación y análisis de muestras, los auxiliares con conocimientos en estas áreas son capaces de facilitar diagnósticos rápidos y precisos. Esto no solo mejora la calidad del tratamiento, sino que también puede salvar vidas animales.
Citología: qué es y qué información aporta
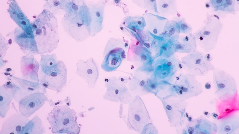
La citología es una rama de la biología que se enfoca en examinar células individuales extraídas de tejidos. En un contexto veterinario, esta disciplina es fundamental para detectar enfermedades como infecciones, tumores y otros trastornos celulares.
Cuando un veterinario sospecha de una enfermedad, una de las primeras acciones puede ser realizar una citología. Esto implica tomar una pequeña muestra de células del animal, ya sea mediante un raspado de piel, una punción con aguja fina de un tumor o una aspiración de un líquido corporal. Estas muestras son luego teñidas y examinadas bajo un microscopio.
El análisis de estas células permite identificar características anormales, como la forma y tamaño irregular de las células, la presencia de múltiples núcleos, o cambios en la estructura que pueden indicar una enfermedad específica. Por ejemplo, en el caso de una infección bacteriana, se pueden observar células inflamatorias y bacterias, mientras que en un tumor, las células pueden aparecer desorganizadas y de formas variadas, un claro indicio de malignidad.
Pongamos un ejemplo. Supongamos que un perro presenta un bulto sospechoso. La citología puede determinar rápidamente si el bulto es benigno, como un lipoma (un tumor graso común y no canceroso), o si muestra signos de cáncer, lo que requiere intervención médica inmediata. Este rápido diagnóstico es vital no solo para el tratamiento del animal, sino también para dar tranquilidad a los dueños preocupados.
Histología, para comprender la estructura de los tejidos
La histología trata el estudio de los tejidos biológicos a un nivel más complejo y detallado que la citología. Mientras que la citología se centra en las células individuales, la histología examina cómo estas células se organizan en tejidos y cómo esos tejidos forman órganos y sistemas en el cuerpo. Esta comprensión es esencial para cualquier auxiliar de veterinaria, ya que proporciona una visión más profunda de las patologías que pueden afectar a diferentes partes del cuerpo de los animales.
El primer paso en el estudio histológico es la preparación de la muestra, que requiere precisión y cuidado. Este proceso comienza con la fijación del tejido, que implica preservar las muestras de tejido en una solución química para evitar su deterioro. Luego, estos tejidos son incrustados en parafina, cortados en secciones delgadas y teñidos con colorantes específicos que resaltan diferentes componentes celulares y estructuras de tejido.
Estos pasos son indispensables, porque permiten visualizar claramente las estructuras celulares y los patrones de tejido bajo un microscopio, facilitando la identificación de anomalías estructurales o enfermedades.
Una vez que las muestras están preparadas y teñidas, se examinan bajo el microscopio. Este examen puede revelar mucho sobre la salud del animal. Por ejemplo, en casos de enfermedades inflamatorias como la enteritis, la histología puede mostrar cambios en la estructura del tejido intestinal que no son visibles solo con la citología.
Además, la histología es indispensable en el diagnóstico de cánceres. Diferentes tipos de cáncer presentan patrones histológicos distintivos que ayudan a determinar el tipo específico de cáncer y la mejor estrategia de tratamiento.
Por ejemplo, la diferenciación entre un carcinoma (un tipo de cáncer que comienza en las células de la piel o en los tejidos que revisten o cubren los órganos internos) y un sarcoma (un cáncer que surge de tejidos conectivos como músculo, hueso o nervios) es posible gracias a los detalles que ofrece el estudio histológico.
Aplicaciones prácticas en la clínica veterinaria
El conocimiento de la citología y la histología no solo es fundamental para el diagnóstico y tratamiento de enfermedades, sino que también desempeña un papel fundamental en la rutina diaria de una clínica veterinaria.
Uno de los ejemplos más comunes de la aplicación de la citología es el examen rápido de las orejas de un perro para detectar infecciones por hongos o bacterias. Un auxiliar de veterinaria puede preparar una muestra y examinarla bajo el microscopio para identificar el tipo específico de infección, permitiendo que el veterinario prescriba el tratamiento adecuado rápidamente.
En cuanto a la histología, un caso destacado es el estudio de biopsias de tumores. La capacidad de diferenciar entre tumores benignos y malignos mediante técnicas histológicas es invaluable. Por ejemplo, un auxiliar bien entrenado en histología puede ayudar en la preparación de las muestras que determinarán el curso del tratamiento, como la necesidad de cirugía o el tipo de quimioterapia más adecuada.
También hay que tener en cuenta que las técnicas de citología e histología requieren herramientas específicas. En el día a día, los auxiliares utilizan microscopios, colorantes especiales y equipos de corte de tejidos para preparar y analizar las muestras. Además, el conocimiento en el manejo de estas herramientas asegura que las muestras se preparen correctamente, algo esencial para obtener resultados diagnósticos precisos.
Por lo tanto, el manejo adecuado de estas herramientas no solo mejora la eficiencia de la clínica, sino que también eleva la calidad del cuidado animal al proporcionar datos fiables y rápidos para el tratamiento.







